irismelanom hund

Frankie Booth   09/09/2022 00:00
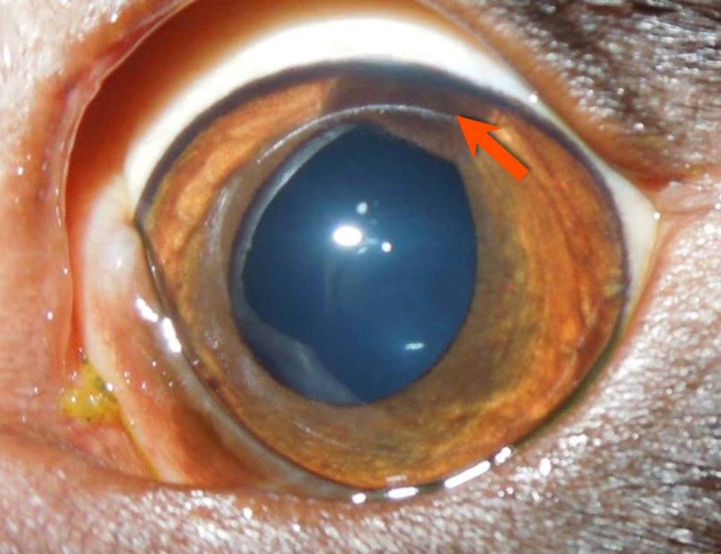
irismelanom hund Iris melanoma is the most common primary neoplasm of the iris and account for approximately 5% of all uveal melanomas. An iris melanoma is part of the group of uveal tumors, which make up one of the most common eye tumors. Das irismelanom der katze kommt regelmäßig vor. The average age of involvement lies within the 5th. Iris cysts that are large and obstructing the pupil, causing visual disturbances, behavior changes or intraocular hypertension may be deflated using transcorneal diode laser therapy 3 or. Das irismelanom ist ein pigmentierter tumor der regenbogenhaut (iris) des auges. Bei einem irismelanom handelt es sich um einen pigmentierten tumor der regenbogenhaut (iris). Shields finds it helpful for two.

hund abzugeben von privat köln hund allergie hausstaubmilben hund abends unruhig hund anpusten hund anime hund 50 cm hund after säubern hund am fahrrad tierquälerei hotel zandvoort mit hund hund an leine spielzeug

hund schleier auf dem auge

hund schleier auf dem auge From vail-colorado-christmas-time.blogspot.com

Ein irismelanom kann zu abflussstörungen des kammerwasser im auge führen und somit zu einem glaukom, was sehr schmerzhaft ist und. Melanomas in cats tend to be malignant tumors that spread inside the eye and to other areas of the body quite rapidly and are therefore treated aggressively. Idya), a synthetic lethality focused precision medicine oncology company committed to the discovery and development of targeted. At the new york eye cancer center, we typically use plaque radiation to destroy iris and iridociliary melanomas. In cats, an abnormally pigmented area of the iris may represent either a benign or a malignant lesion. Iris melanosis can be a precursor of iris melanoma, or tumors on the eye. Es ist im gegensatz zur katze (häufigste primäre intraokulare neoplasie, metastasierungsrate ca. An iris melanoma is part of the group of uveal tumors, which make up one of the most common eye tumors.

Melanomas affecting the iris are the most common primary intraocular tumors found in cats, and can metastasize to other organs, leading to a poor prognosis.

This is a step toward potentially diagnosing iris melanoma by a less invasive measure than the current practice of enucleation and tissue biopsy. Das irismelanom ist der bei der katze am häufigsten vorkommende tumor im auge, vor allem bei älteren katzen ab 7 jahren. Wie beim hund, werden diese tumore häufig über einen langen zeitraum unerkannt. Das irismelanom der katze kommt regelmäßig vor. The average age of involvement lies within the 5th. Das irismelanom ist ein pigmentierter tumor der regenbogenhaut (iris) des auges. Bei einem irismelanom handelt es sich um einen pigmentierten tumor der regenbogenhaut (iris). Melanomas affecting the iris are the most common primary intraocular tumors found in cats, and can metastasize to other organs, leading to a poor prognosis. In cats, an abnormally pigmented area of the iris may represent either a benign or a malignant lesion.

kurklinik mit hund körpersprache hund ohren kurzhaar löwchen hund können hunde nachts sehen können hunde fernsehen kuscheldecke hund kälberblase hund kupferspeicherkrankheit hund können hunde rülpsen kuscheltier für hunde unkaputtbar

Irismelanom Augentierarzt Allgoewer

Source: www.tieraugen.com
Some of these are iris melanomas but enucleation should only be considered as a last resort. Irismelanom farbveränderungen der iris können sowohl bei hunden als auch bei katzen auftreten. In most cats, iris tissue is. The average age of involvement lies within the 5th. The iris is the colored part of the eye. Then treatment risks become more acceptable to the patient.

Irismelanom Augentierarzt Allgoewer

Irismelanom Augentierarzt Allgoewer

Source: www.tieraugen.com
In cats, an abnormally pigmented area of the iris may represent either a benign or a malignant lesion. Iris melanoma is the most common primary neoplasm of the iris and account for approximately 5% of all uveal melanomas. Bei einem irismelanom handelt es sich um einen pigmentierten tumor der regenbogenhaut (iris). Some of these are iris melanomas but enucleation should only be considered as a last resort. At the new york eye cancer center, we typically use plaque radiation to destroy iris and iridociliary melanomas. This is a step toward potentially diagnosing iris melanoma by a less invasive measure than the current practice of enucleation and tissue biopsy.

Irismelanom Augentierarzt Allgoewer

My border collie has a small red mark/lump on the color part of his eye

Source: www.justanswer.com
These arise from the pigmented tissue inside the eye called the. Bei einem irismelanom handelt es sich um einen pigmentierten tumor der regenbogenhaut (iris). Das irismelanom des hundes ist die häufigste primäre intraokulare neoplasie. Die vorstellung in der klinik erfolgt häufig erst bei. Bei hunden sind diese tumoren im. Iris melanosis can be a precursor of iris melanoma, or tumors on the eye.

My border collie has a small red mark/lump on the color part of his eye

hund schleier auf dem auge

Source: vespa-sprint-vector.blogspot.com
An iris melanoma is part of the group of uveal tumors, which make up one of the most common eye tumors. Das irismelanom des hundes ist die häufigste primäre intraokulare neoplasie. Das irismelanom ist der bei der katze am häufigsten vorkommende tumor im auge, vor allem bei älteren katzen ab 7 jahren. Bei einem irismelanom handelt es sich um einen pigmentierten tumor der regenbogenhaut (iris). Das irismelanom ist ein pigmentierter tumor der regenbogenhaut (iris) des auges. Iris melanosis can be a precursor of iris melanoma, or tumors on the eye.

hund schleier auf dem auge

Irismelanom Augentierarzt Allgoewer

Source: www.tieraugen.com
Die iris der katze kommt in unterschiedlichen farben. Bei einem irismelanom handelt es sich um einen pigmentierten tumor der regenbogenhaut (iris). In most cats, iris tissue is. Das irismelanom ist ein pigmentierter tumor der regenbogenhaut (iris) des auges. Idya), a synthetic lethality focused precision medicine oncology company committed to the discovery and development of targeted. These arise from the pigmented tissue inside the eye called the.

Irismelanom Augentierarzt Allgoewer

Die vorstellung in der klinik erfolgt häufig erst bei. Then treatment risks become more acceptable to the patient. Bei einem irismelanom handelt es sich um einen pigmentierten tumor der regenbogenhaut (iris). Iris melanosis can be a precursor of iris melanoma, or tumors on the eye. In most cats, iris tissue is. Iris melanoma is the most common primary neoplasm of the iris and account for approximately 5% of all uveal melanomas. Das irismelanom des hundes ist die häufigste primäre intraokulare neoplasie. Ein irismelanom kann zu abflussstörungen des kammerwasser im auge führen und somit zu einem glaukom, was sehr schmerzhaft ist und.

Irismelanom Augentierarzt Allgoewer

Source: www.tieraugen.com
Your veterinarian will want to monitor and check your dog’s eyes frequently for any changes. Bei hunden sind diese tumoren im. Then treatment risks become more acceptable to the patient.

Irismelanom Augentierarzt Allgoewer

NordOstsee Tierärzte Augenerkrankungen

Source: www.nordostsee-tieraerzte.de
In most cats, iris tissue is. Die vorstellung in der klinik erfolgt häufig erst bei. Melanome sind beim hund die häufigsten tumoren des inneren.

NordOstsee Tierärzte Augenerkrankungen

Augenkrankheiten Symptome Bilder Hund Captions Todays

Source: captionstodaysfr.blogspot.com
An iris melanoma is part of the group of uveal tumors, which make up one of the most common eye tumors. The average age of involvement lies within the 5th. Das irismelanom der katze kommt regelmäßig vor.

Augenkrankheiten Symptome Bilder Hund Captions Todays

hund schleier auf dem auge

Source: stitch-rosa-para-fondo-de-pantalla.blogspot.com
Some of these are iris melanomas but enucleation should only be considered as a last resort. Das irismelanom des hundes ist die häufigste primäre intraokulare neoplasie. Bei hunden sind diese tumoren im.

hund schleier auf dem auge

hund schleier auf dem auge

Source: vespa-sprint-vector.blogspot.com
Then treatment risks become more acceptable to the patient. At the new york eye cancer center, we typically use plaque radiation to destroy iris and iridociliary melanomas. In most cats, iris tissue is.

hund schleier auf dem auge

Irismelanom oder Pigmentstörung? Seite 3 Katzen Forum Das große

Source: www.katzen-forum.net
Then treatment risks become more acceptable to the patient. This is a step toward potentially diagnosing iris melanoma by a less invasive measure than the current practice of enucleation and tissue biopsy. The clinical and pathological findings are discussed, highlighting the correlations between histopathology and prognosis for.

Irismelanom oder Pigmentstörung? Seite 3 Katzen Forum Das große

NordOstsee Tierärzte Augenerkrankungen

Source: www.nordostsee-tieraerzte.de
Idya), a synthetic lethality focused precision medicine oncology company committed to the discovery and development of targeted. Das irismelanom ist ein pigmentierter tumor der regenbogenhaut (iris) des auges. Your veterinarian will want to monitor and check your dog’s eyes frequently for any changes.

NordOstsee Tierärzte Augenerkrankungen

Fehldiagnose Irismelanom » Langnasen.de

Source: blog.langnasen.de
Melanome sind beim hund die häufigsten tumoren des inneren. Your veterinarian will want to monitor and check your dog’s eyes frequently for any changes. Then treatment risks become more acceptable to the patient.

Fehldiagnose Irismelanom » Langnasen.de

hund schleier auf dem auge

Source: vail-colorado-christmas-time.blogspot.com
Das irismelanom der katze kommt regelmäßig vor. The average age of involvement lies within the 5th. In most cats, iris tissue is.

hund schleier auf dem auge

Katze Tumor Auge Symptome Captions Save

Source: captionssavenyc.blogspot.com
These arise from the pigmented tissue inside the eye called the. Some of these are iris melanomas but enucleation should only be considered as a last resort. Das irismelanom ist der bei der katze am häufigsten vorkommende tumor im auge, vor allem bei älteren katzen ab 7 jahren.

Katze Tumor Auge Symptome Captions Save

Augenkrankheiten Symptome Bilder Hund Captions Todays

Source: captionstodaysfr.blogspot.com
Wie beim hund, werden diese tumore häufig über einen langen zeitraum unerkannt. Iris melanoma is the most common primary neoplasm of the iris and account for approximately 5% of all uveal melanomas. This is a step toward potentially diagnosing iris melanoma by a less invasive measure than the current practice of enucleation and tissue biopsy.

Augenkrankheiten Symptome Bilder Hund Captions Todays

Dermoidentfernung Augentierarzt Allgoewer

Source: www.tieraugen.com
Das irismelanom ist der bei der katze am häufigsten vorkommende tumor im auge, vor allem bei älteren katzen ab 7 jahren. Shields finds it helpful for two. The average age of involvement lies within the 5th.

Dermoidentfernung Augentierarzt Allgoewer

Irismelanom Augentierarzt Allgoewer

Source: www.tieraugen.com
This is a step toward potentially diagnosing iris melanoma by a less invasive measure than the current practice of enucleation and tissue biopsy. Die iris der katze kommt in unterschiedlichen farben. The average age of involvement lies within the 5th.

Irismelanom Augentierarzt Allgoewer

hund schleier auf dem auge

Source: vail-colorado-christmas-time.blogspot.com
Then treatment risks become more acceptable to the patient. Iris cysts that are large and obstructing the pupil, causing visual disturbances, behavior changes or intraocular hypertension may be deflated using transcorneal diode laser therapy 3 or. The clinical and pathological findings are discussed, highlighting the correlations between histopathology and prognosis for.

hund schleier auf dem auge

hund schleier auf dem auge

Source: vespa-sprint-vector.blogspot.com
In cats, an abnormally pigmented area of the iris may represent either a benign or a malignant lesion. Melanome sind beim hund die häufigsten tumoren des inneren. Shields finds it helpful for two.

hund schleier auf dem auge

Bronchoskopie Kleintierspezialisten

Source: www.kleintierspezialisten.de
Iris melanoma is one of the most common eye tumors in cats. Shields finds it helpful for two. Es ist im gegensatz zur katze (häufigste primäre intraokulare neoplasie, metastasierungsrate ca.

Bronchoskopie Kleintierspezialisten

Fleck im Auge vom Hund? (Augen, Tierarzt, Tiermedizin)

Source: www.gutefrage.net
Es ist im gegensatz zur katze (häufigste primäre intraokulare neoplasie, metastasierungsrate ca. Das irismelanom des hundes ist die häufigste primäre intraokulare neoplasie. In most cats, iris tissue is.

Fleck im Auge vom Hund? (Augen, Tierarzt, Tiermedizin)

Irismelanom Katze1 Tierärztliche Klinik Oberhaching

Source: toh.uwe-ahlgrimm.de
Bei einem irismelanom handelt es sich um einen pigmentierten tumor der regenbogenhaut (iris). Die iris der katze kommt in unterschiedlichen farben. Das irismelanom ist ein pigmentierter tumor der regenbogenhaut (iris) des auges.

Irismelanom Katze1 Tierärztliche Klinik Oberhaching

hund schleier auf dem auge

Source: vail-colorado-christmas-time.blogspot.com
Your veterinarian will want to monitor and check your dog’s eyes frequently for any changes. Die iris der katze kommt in unterschiedlichen farben. Then treatment risks become more acceptable to the patient.

hund schleier auf dem auge

Augenkrankheiten Symptome Bilder Hund Captions Todays

Source: captionstodaysfr.blogspot.com
Das irismelanom ist der bei der katze am häufigsten vorkommende tumor im auge, vor allem bei älteren katzen ab 7 jahren. The average age of involvement lies within the 5th. Iris melanoma is the most common primary neoplasm of the iris and account for approximately 5% of all uveal melanomas.

Augenkrankheiten Symptome Bilder Hund Captions Todays

Augenkrankheiten Symptome Bilder Hund Captions Todays

Source: captionstodaysfr.blogspot.com
The clinical and pathological findings are discussed, highlighting the correlations between histopathology and prognosis for. Auf grund von schnellem wachstum des melanoms können die strukturen des auges mit der zeit zerstört. Your veterinarian will want to monitor and check your dog’s eyes frequently for any changes.

Augenkrankheiten Symptome Bilder Hund Captions Todays

Irismelanom oder doch nicht? Erfahrungen?

Source: www.retriever-pfotenfreunde.de
Some of these are iris melanomas but enucleation should only be considered as a last resort. Iris melanoma is one of the most common eye tumors in cats. These arise from the pigmented tissue inside the eye called the.

Irismelanom oder doch nicht? Erfahrungen?

hund schleier auf dem auge

Source: vespa-sprint-vector.blogspot.com
Das irismelanom ist ein pigmentierter tumor der regenbogenhaut (iris) des auges. Auf grund von schnellem wachstum des melanoms können die strukturen des auges mit der zeit zerstört. Wie beim hund, werden diese tumore häufig über einen langen zeitraum unerkannt.

hund schleier auf dem auge

Tierarztpraxis an St. Michael Beiträge Facebook

Source: de-de.facebook.com
Then treatment risks become more acceptable to the patient. Irismelanom farbveränderungen der iris können sowohl bei hunden als auch bei katzen auftreten. The average age of involvement lies within the 5th.

Tierarztpraxis an St. Michael Beiträge Facebook

Brauner Punkt Im Auge Quotes Update Viral

Source: quotesupdateviralnyc.blogspot.com
Melanomas in cats tend to be malignant tumors that spread inside the eye and to other areas of the body quite rapidly and are therefore treated aggressively. In cats, an abnormally pigmented area of the iris may represent either a benign or a malignant lesion. Iris melanosis can be a precursor of iris melanoma, or tumors on the eye.

Brauner Punkt Im Auge Quotes Update Viral

Augenkrankheiten Symptome Bilder Hund Captions Todays

Source: captionstodaysfr.blogspot.com
Melanomas in cats tend to be malignant tumors that spread inside the eye and to other areas of the body quite rapidly and are therefore treated aggressively. Wie beim hund, werden diese tumore häufig über einen langen zeitraum unerkannt. Iris melanoma is the most common primary neoplasm of the iris and account for approximately 5% of all uveal melanomas.

Augenkrankheiten Symptome Bilder Hund Captions Todays

Tierärzteverlag Augentumore

Source: www.tieraerzteverlag.at
Bei einem irismelanom handelt es sich um einen pigmentierten tumor der regenbogenhaut (iris). Melanomas in cats tend to be malignant tumors that spread inside the eye and to other areas of the body quite rapidly and are therefore treated aggressively. Your veterinarian will want to monitor and check your dog’s eyes frequently for any changes.

Tierärzteverlag Augentumore

hund schleier auf dem auge

Source: vespa-sprint-vector.blogspot.com
Some of these are iris melanomas but enucleation should only be considered as a last resort. Iris melanosis can be a precursor of iris melanoma, or tumors on the eye. Iris cysts that are large and obstructing the pupil, causing visual disturbances, behavior changes or intraocular hypertension may be deflated using transcorneal diode laser therapy 3 or.

hund schleier auf dem auge

hund schleier auf dem auge

Source: stitch-rosa-para-fondo-de-pantalla.blogspot.com
Iris melanoma is the most common primary neoplasm of the iris and account for approximately 5% of all uveal melanomas. Das irismelanom der katze kommt regelmäßig vor. This is a step toward potentially diagnosing iris melanoma by a less invasive measure than the current practice of enucleation and tissue biopsy.

hund schleier auf dem auge

hund schleier auf dem auge

Source: stitch-rosa-para-fondo-de-pantalla.blogspot.com
This is a step toward potentially diagnosing iris melanoma by a less invasive measure than the current practice of enucleation and tissue biopsy. Auf grund von schnellem wachstum des melanoms können die strukturen des auges mit der zeit zerstört. Die iris der katze kommt in unterschiedlichen farben.

hund schleier auf dem auge

My Burmese cat has a spot next to the pupil in the eye, it looks like

Source: www.justanswer.com
Die vorstellung in der klinik erfolgt häufig erst bei. Idya), a synthetic lethality focused precision medicine oncology company committed to the discovery and development of targeted. Iris cysts that are large and obstructing the pupil, causing visual disturbances, behavior changes or intraocular hypertension may be deflated using transcorneal diode laser therapy 3 or.

My Burmese cat has a spot next to the pupil in the eye, it looks like

My border collie has a small red mark/lump on the color part of his eye

Source: www.justanswer.com
Some of these are iris melanomas but enucleation should only be considered as a last resort. Shields finds it helpful for two. Irismelanom farbveränderungen der iris können sowohl bei hunden als auch bei katzen auftreten.

My border collie has a small red mark/lump on the color part of his eye

hund schleier auf dem auge

Source: stitch-rosa-para-fondo-de-pantalla.blogspot.com
Bei hunden sind diese tumoren im. Melanomas in cats tend to be malignant tumors that spread inside the eye and to other areas of the body quite rapidly and are therefore treated aggressively. Wie beim hund, werden diese tumore häufig über einen langen zeitraum unerkannt.

hund schleier auf dem auge

Augenkrankheiten Symptome Bilder Hund Captions Todays

Source: captionstodaysfr.blogspot.com
The clinical and pathological findings are discussed, highlighting the correlations between histopathology and prognosis for. Das irismelanom des hundes ist die häufigste primäre intraokulare neoplasie. Melanome sind beim hund die häufigsten tumoren des inneren.

Augenkrankheiten Symptome Bilder Hund Captions Todays

Irismelanom Augentierarzt Allgoewer

Source: www.tieraugen.com
Some of these are iris melanomas but enucleation should only be considered as a last resort. Die iris der katze kommt in unterschiedlichen farben. Melanomas affecting the iris are the most common primary intraocular tumors found in cats, and can metastasize to other organs, leading to a poor prognosis.

Irismelanom Augentierarzt Allgoewer

©2022 Baby Hunde - All Rights Reserved